
We complete all of our stonework and study models in-house. Dr. Sharp uses cosmetic imaging to present the best options to create a beautiful smile.
These steps are executed in our office to maintain a high attention to detail and consistently deliver the finest dentistry possible.



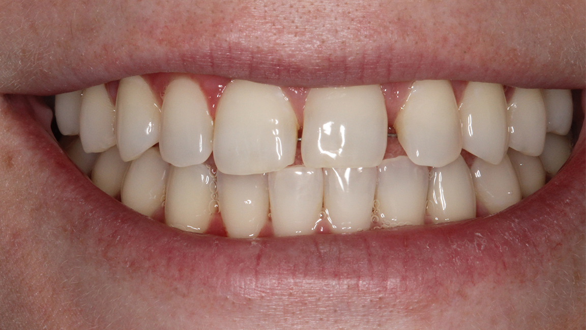
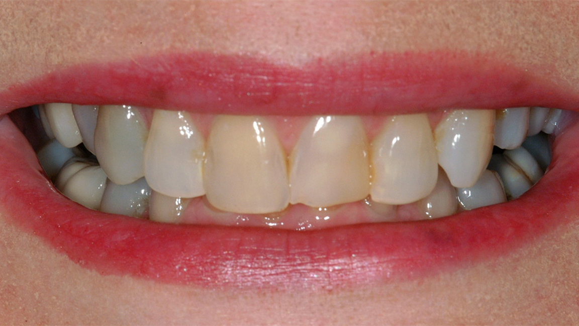
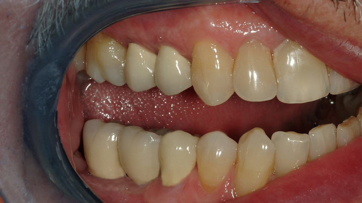
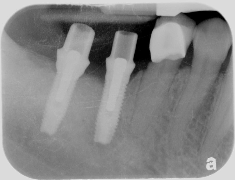
BEFORE

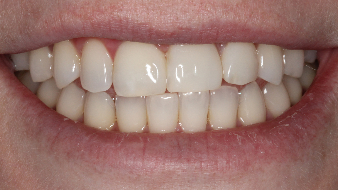
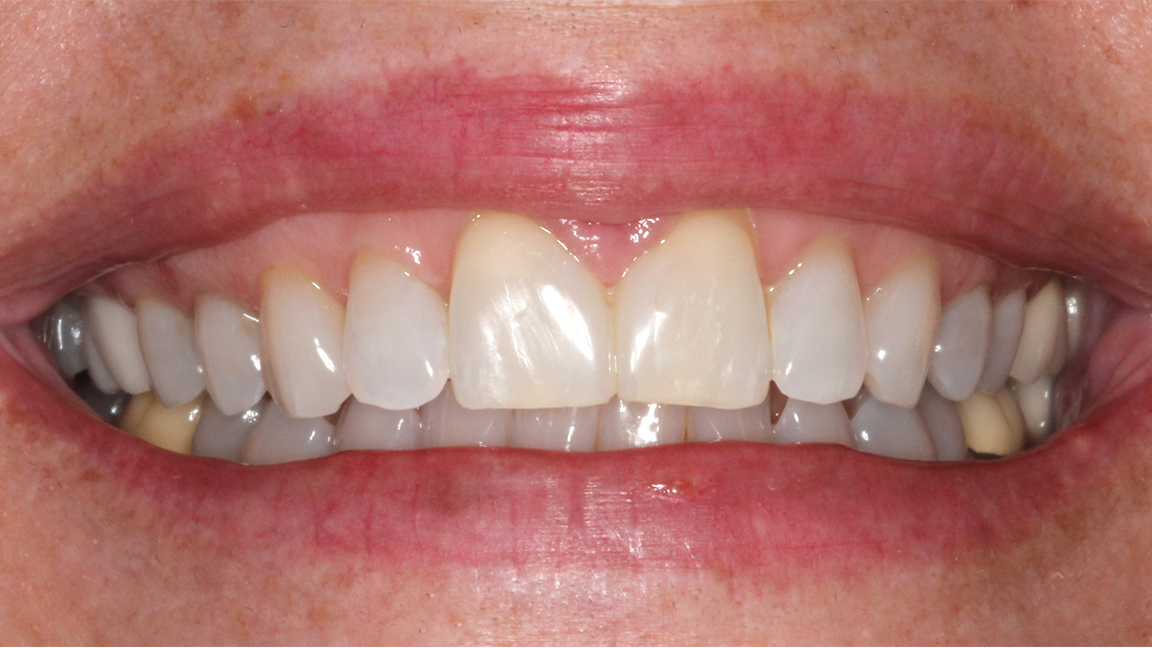
AFTER

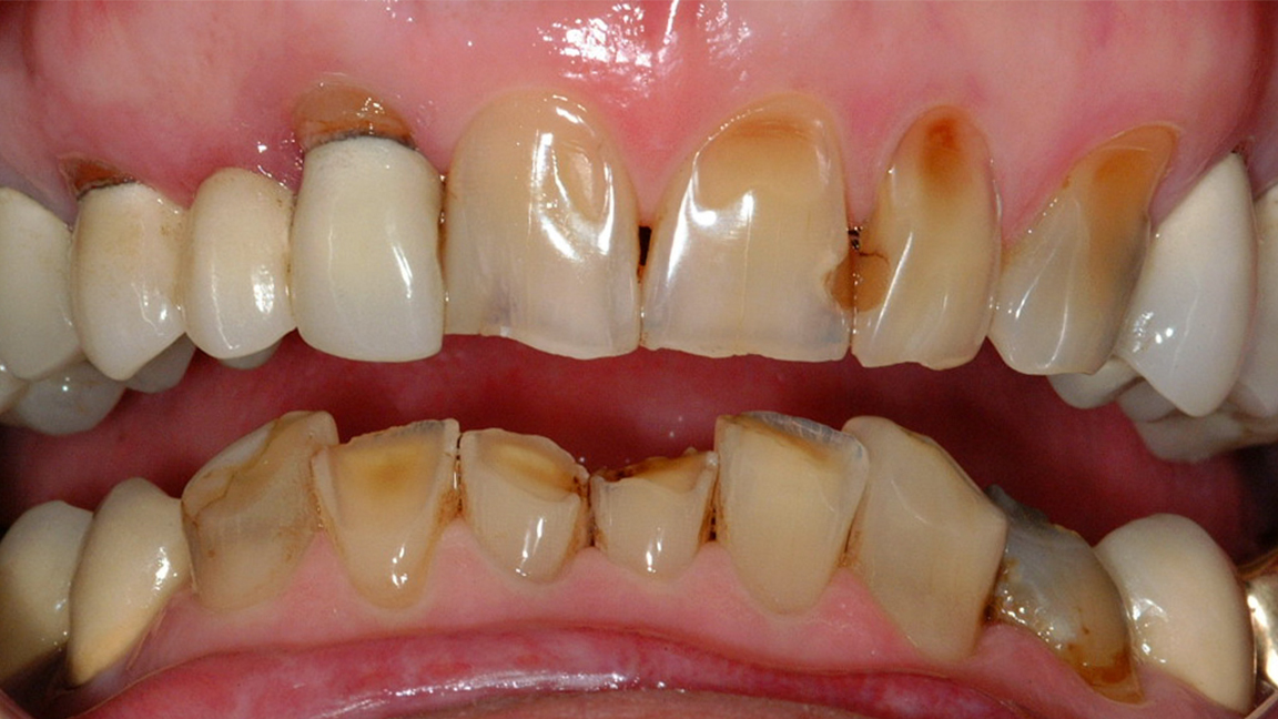
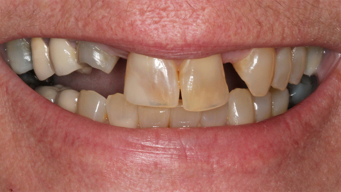
BEFORE

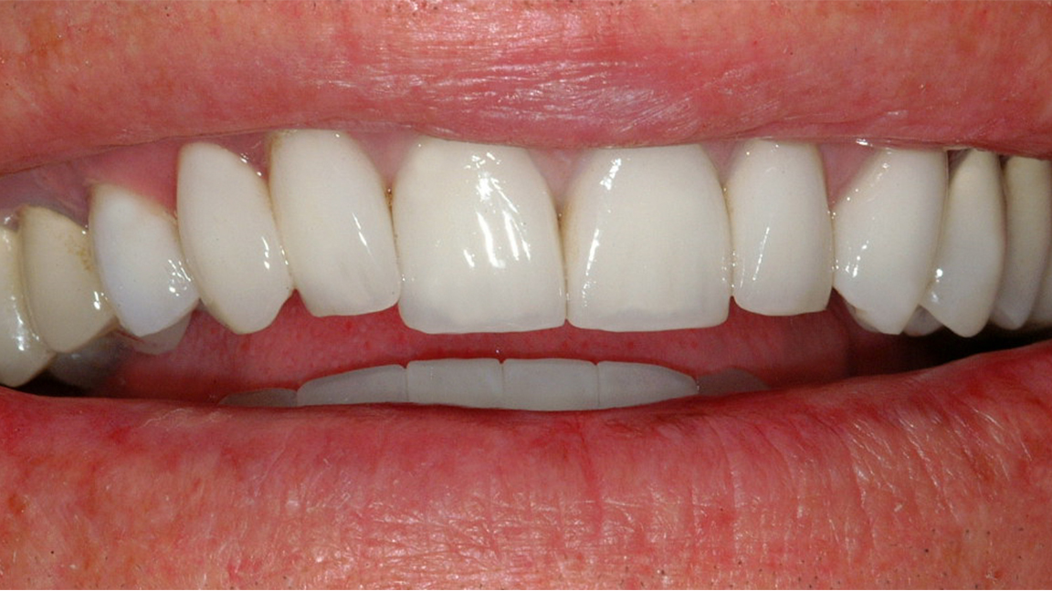
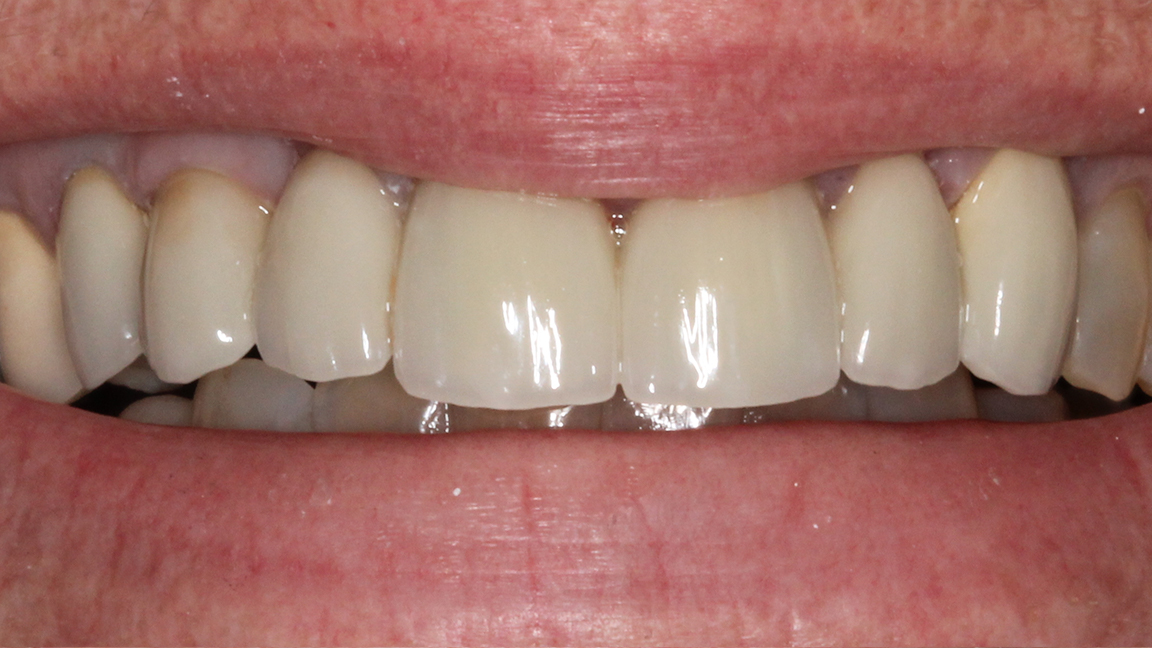
AFTER

BEFORE

AFTER

BEFORE

AFTER
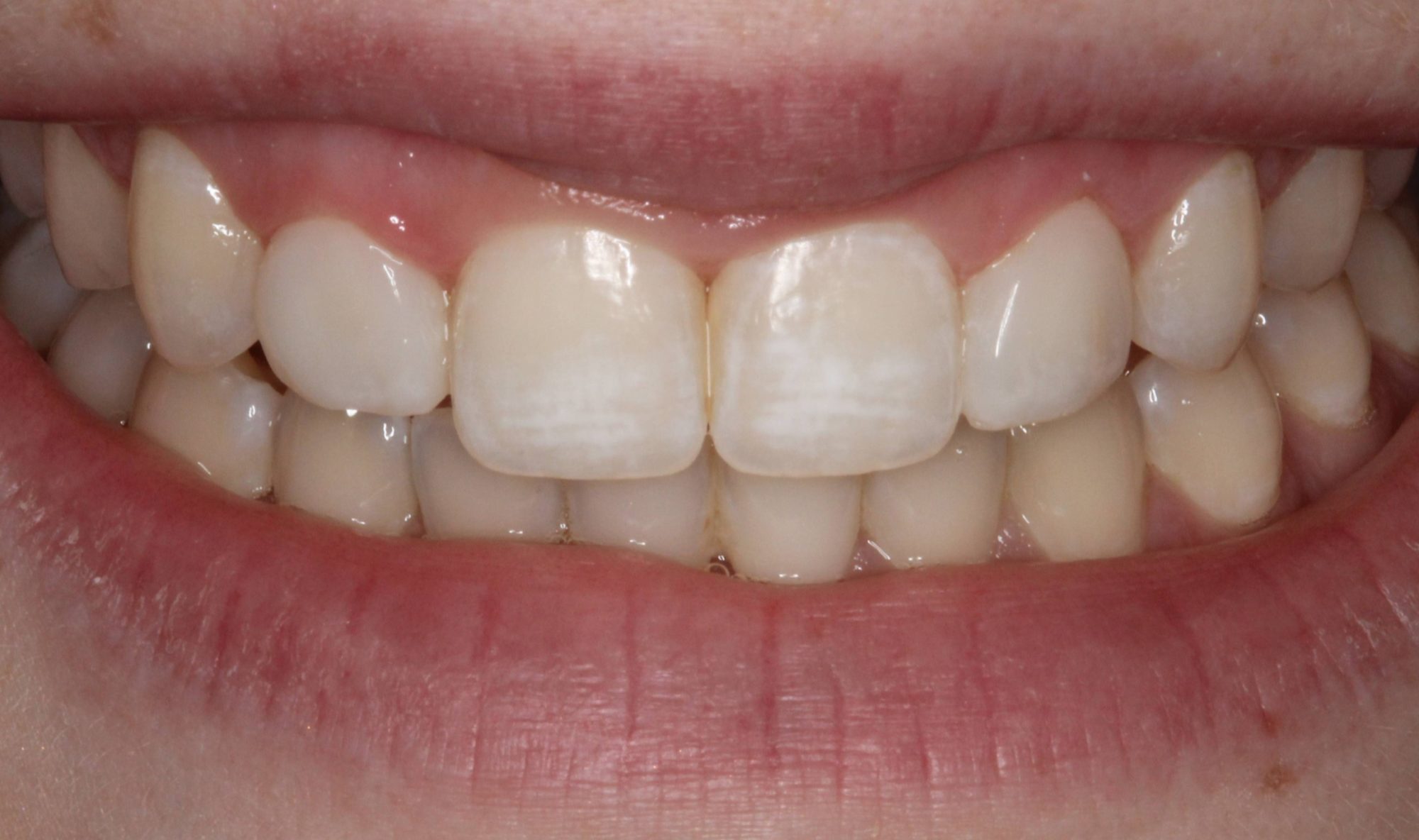
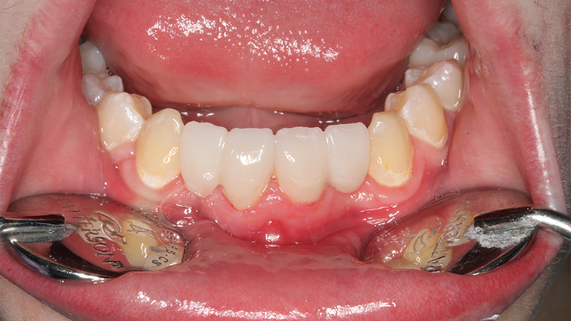
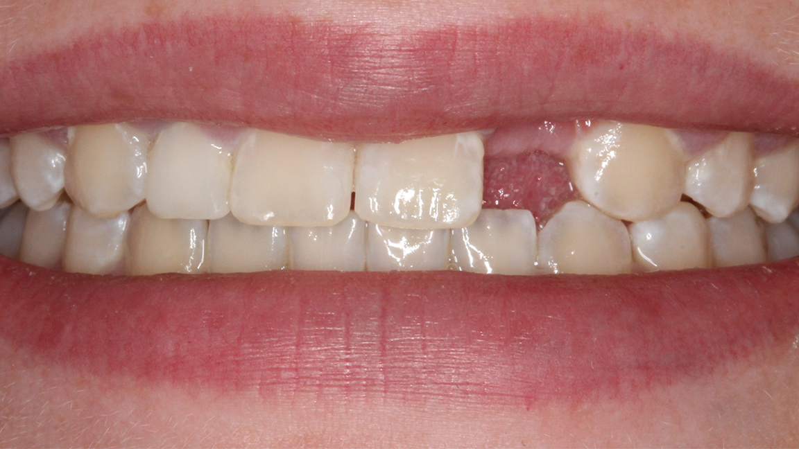
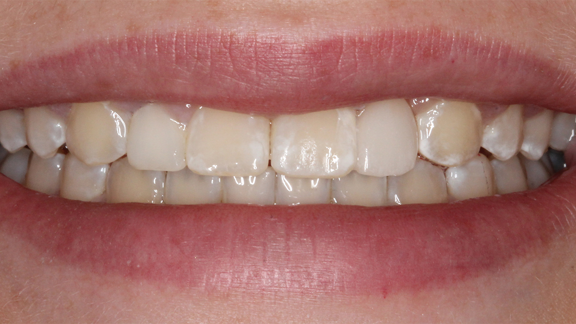
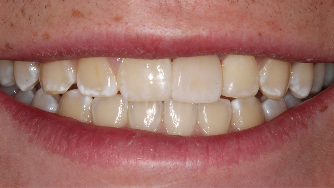
Working together with the orthodontist, we can add composite to make smaller teeth match the other teeth anatomically with the correct shades and characteristics. The case above was done without removing any tooth structure using free hand bonding.

BEFORE

AFTER

AFTER



BEFORE

AFTER

BEFORE

AFTER

BEFORE

AFTER

BEFORE

AFTER

BEFORE

AFTER

BEFORE

AFTER

BEFORE

AFTER

BEFORE

AFTER

BEFORE

AFTER

BEFORE

AFTER

BEFORE

AFTER
No anesthetic, No tooth reduction

I served in the Gulf War and was injured during my service causing damage to my jaw and teeth. Once I returned home, I underwent surgeries that resulted in total loss of my permanent teeth. Replacement dentures were not fitted properly and my health was suffering from the breathing medications I was taking to address the problems. After talking with my wife, we decided it was time to have the dentures replaced.
Dr. Sharp brought me to his office and made impressions, again and again, until I was completely satisfied with the look and smile that I had always been ashamed of. He made sure the dentures fit like my real teeth and looked natural. Thanks to Dr. Sharp and his staff, my life is now free of polygrip and expensive breathing medications and I can eat foods I once enjoyed regularly!

BEFORE

AFTER

BEFORE

AFTER

BEFORE

AFTER

BEFORE

AFTER

BEFORE

AFTER

BEFORE

AFTER

BEFORE

AFTER

BEFORE

AFTER

BEFORE

AFTER

BEFORE

AFTER

BEFORE

AFTER

BEFORE

AFTER

BEFORE

AFTER
Our goal is to help every patient experience the benefits of good oral health and a beautiful smile. We value the trust you have placed in our office and strive to provide solutions that meet your dental needs and expectations of care.